The aao recommends that children have their first orthodontic visit by age 7

Pediatric Dentists Recommend Two Cleanings/Exams A Year

pin pin pin

Questions & Answers

Braces

arrow-down
What are braces?

Braces treatment consists of a system of metal brackets, bands and wires that work together to gently realign your teeth and move them into their ideal positions. Traditionally, the brackets are attached to the front surfaces of your teeth and connected using the wire and bands. As the wire is adjusted, your teeth gradually realign. Braces are the most common orthodontic treatment available and are a good option for virtually everyone seeking orthodontic care.

arrow-down
Are there different kinds of braces?

Yes. The most common types of braces are metal braces and clear (ceramic) braces. When you meet with our orthodontist, we will discuss your treatment options and determine which type of braces is right for you.

arrow-down
How long will braces treatment take?

On average, orthodontic treatment takes between 18 and 30 months. Treatment times vary greatly depending on the patient. During your consultation, our orthodontist will provide you with an estimate of your overall treatment time.

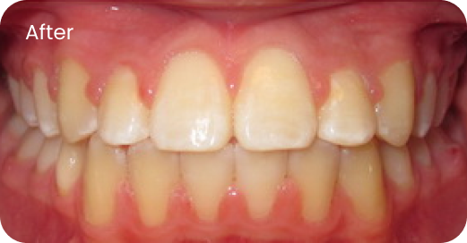
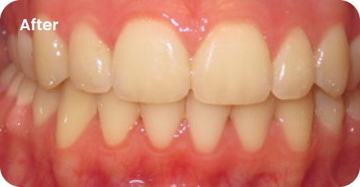
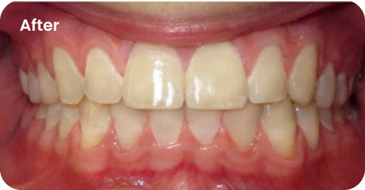
Braces

 

Braces are a tried-and-true orthodontic treatment and are a great option for patients of all ages. Almost everyone who wants to straighten their teeth is a candidate for braces and can benefit from this type of treatment. Our orthodontist can provide several types of braces to meet your needs, including traditional metal braces, gold braces and ceramic braces, and we will work with you to find the right type of braces for your smile. Give us a call today to schedule an appointment at Pediatric Dentistry and Braces and learn more about braces!